Керамические виниры
Процесс изготовления керамического винира:
Первым делом врач стоматолог-ортопед препарирует (обтачивает) зуб,
затем получает оттиск зубов, который отправляется в зуботехническую лабораторию.
После этого на препарированный зуб (при необходимости)
фиксируется временный винир.
В зуботехнической лаборатории в это время изготовляют уже постоянный винир.
Либо методом наслоения керамических порошков (классический метод),
либо методом литья под давлением (пресс-керамика),
либо методом фрезерования из цельных блоков.

Затем зубной техник его раскрашивает специальными красками, под цвет рядом стоящих зубов. После этого винир, фиксируется на зубе специальным композитом.
Лабораторное изготовление виниров используют,
если собираются улучшать значительное количество зубов.
Керамическим винирам присуща большая прочность и долговечность,
на таких винирах можно воссоздать все особенности конкретного зуба.
Немаловажен и тот факт, что керамические виниры с течением времени
не меняют своего первоначального цвета в отличие от композитных виниров.
Так можно скрыть любые дефекты передней поверхности зубов
- старые пломбы, сколы зуба, промежутки между зубами, изменения цвета и т.д.
После восстановления зубов таким способом, передняя поверхность
становится натурально белой, ровной и полупрозрачной.
Наши работы:
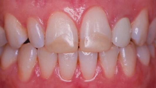
Пациентка обратилась с жалобой на внешний вид
(разобщение передних верхних зубов и их не красивую форму)

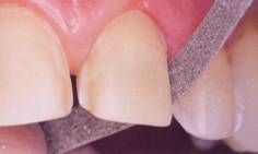
Препарированы зубы под керамические виниры

В зуботехнической лаборатории, изготовлены 4-е керамических винира.

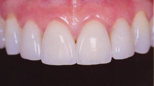
Внешний вид - ПОСЛЕ установки, керамических виниров.

Внешний вид на момент обращения

ПОСЛЕ установки керамических виниров

Керамические виниры изготавливаются с использованием материалов,
которые хорошо переносятся организмом.
Все это позволяет им служить на протяжении многих лет.
Керамические виниры– это одно из новейших достижений
в ортопедической стоматологии,
позволяющие достигнуть желаемых эстетических результатов,
минимально травмируя естественные ткани зуба при протезировании зубов.
Виниры отзывы
На керамические виниры, очень положительные отзывы.
Это качество проверенное временем (у нас более 19 лет устанавливаются виниры)
и нет ни одного возврата и переделки.
Думаем, что этим все сказано.
Наши врачи стоматологи-ортопеды:
Лисуков Вячеслав Викторович
Получить более подробную информацию по вопросам
ВИНИР, КЕРАМИЧЕСКИЕ и ГОЛЛИВУДСКИЕ ВИНИРЫ, ЛЮМИНИРЫ
вы сможете на первичной консультации
в нашей Стоматологии «ДежаВю» в Жулебино и Люберцах,
записаться на которую вы можете по телефонам:
8(495) 706-01-00 и 8(495) 706-02-00



